Cabinet dentaire du Dr VAISSE
Chirurgien-Dentiste à la Teste de Buch 33260 près d'Arcachon (33)
Cabinet dentaire du Dr VAISSE
Chirurgien-Dentiste à la Teste de Buch 33260 près d'Arcachon (33)

33 boulevard de Cazaux
33260 la Teste de buch

Blog - Page 3

Implant et régénération osseuse

Implant et régénération osseuse

Allongement coronaire

Allongement coronaire

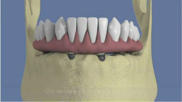
Mandibule complète et traitement implantaire pour un bridge fixe scellé

Mandibule complète et traitement implantaire pour un bridge fixe scellé

Eclaircissement ambulatoire

Eclaircissement ambulatoire

Comblement de sinus par voie latérale (sinus lift) avec implantation différée

Comblement de sinus par voie latérale (sinus lift) avec implantation différée

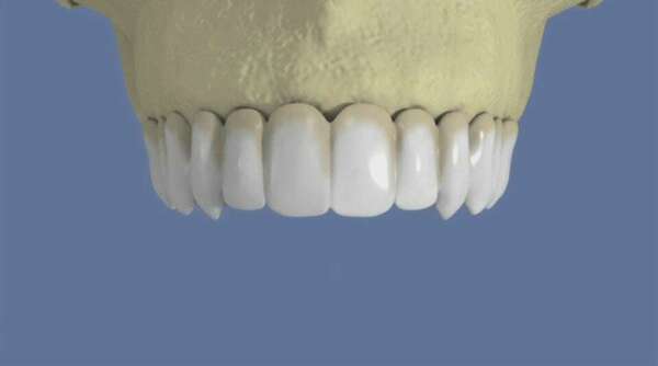
Maxillaire : bridge vissé sans fausse gencive

Maxillaire : bridge vissé sans fausse gencive

Le traitement non chirurgical de la parodontite

Le traitement non chirurgical de la parodontite

Le cas spécifique de la luxation de la mâchoire

Le cas spécifique de la luxation de la mâchoire

Fixation d’une prothèse par une barre sur 4 implants

Fixation d’une prothèse par une barre sur 4 implants

Le laser dans le traitement de la parodontite

Le laser dans le traitement de la parodontite

Le traitement chirurgical de la parodontite

Le traitement chirurgical de la parodontite

Bloc osseux ramique

Bloc osseux ramique

Affichage des articles 25-36 sur 187

Création par Webdentiste

Connexion