Cabinet dentaire du Dr VAISSE
Chirurgien-Dentiste à la Teste de Buch 33260 près d'Arcachon (33)
Cabinet dentaire du Dr VAISSE
Chirurgien-Dentiste à la Teste de Buch 33260 près d'Arcachon (33)

33 boulevard de Cazaux
33260 la Teste de buch

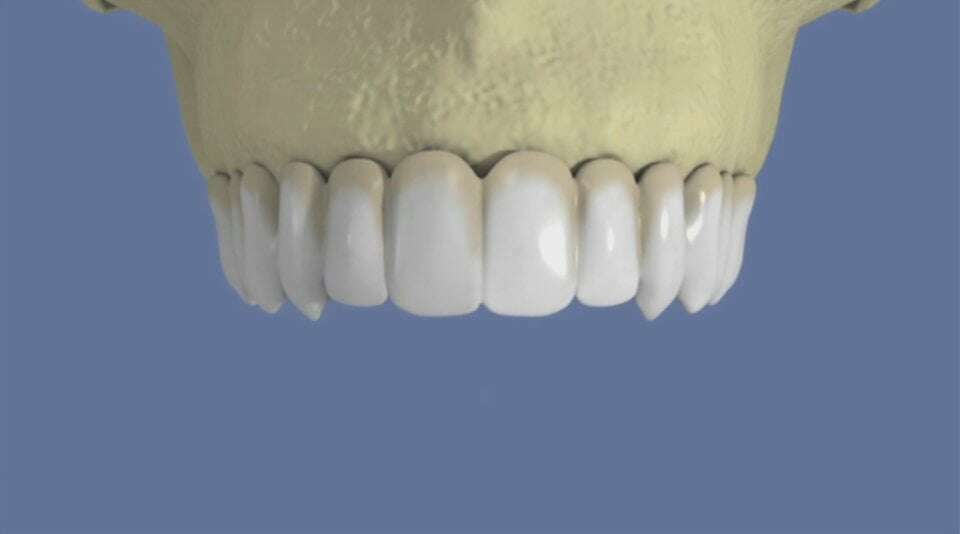
Maxillaire : bridge vissé sans fausse gencive


video-play-icon

Création par Webdentiste

Connexion